Do you tend to avoid smiling fully in photos? Do you feel self-conscious about dark triangles near your gumline that show when you smile or laugh? If so, you’re not alone. Black triangles, also known as gummy smiles, affect over 73% of adults.
The good news is there are cosmetic options to fix black triangles, including a newer procedure called bioclear. In this complete guide, we’ll explain everything you need to know about using bioclear for black triangle treatment in 2025. Learn more about Bioclear costs!
What Causes Black Triangles?
Black triangles form when your gums recede, exposing more of the roots of your teeth. There are several potential causes of gum recession:
- Periodontal disease
- Aggressive brushing
- Smoking
- Genetics
- Tooth wear

The recession causes triangular gaps to appear between the teeth.
For many people, black triangles lead to:
- Self-consciousness about their smile
- Less desire to show their teeth when smiling
- Embarrassment when speaking or laughing openly
How Bioclear Can Treat Black Triangles
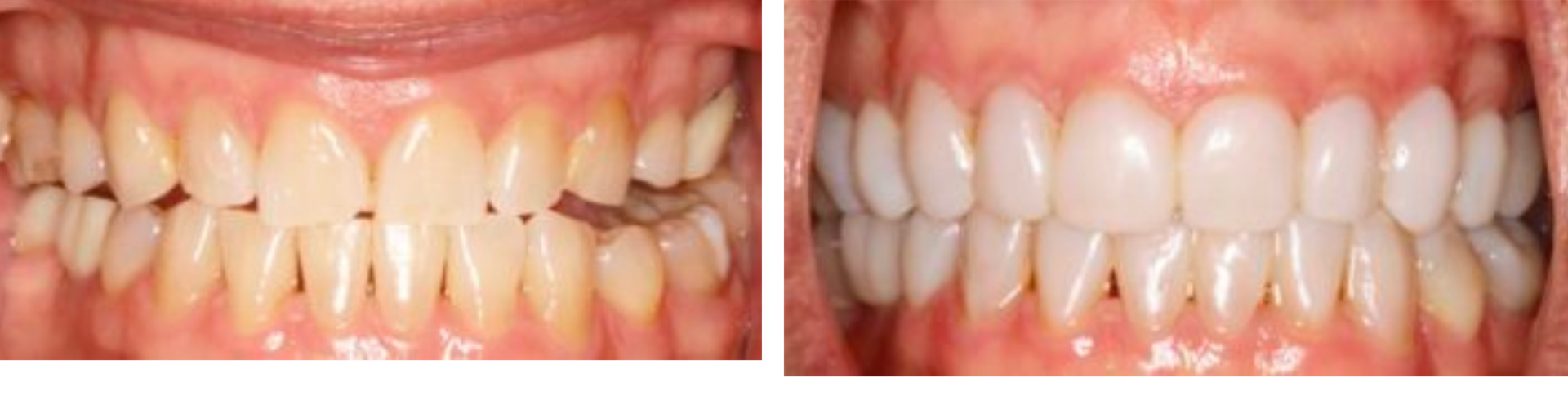
Bioclear is an innovative cosmetic procedure that can treat black triangles and give you a more confident smile. It uses a natural filling material to rebuild your gum line, covering the black triangles. Find out how bioclear works!
The bioclear method offers a few benefits over traditional gum grafting procedures:
- Less invasive – no stitches or incisions needed
- Much faster recovery time
- Excellent natural aesthetics – blended seamlessly with your gums
- Lasting results – the rebuilt gum line is permanent
During a bioclear black triangle procedure, your dentist applies the bioclear composite material precisely along your gum line. Like a dental filling, it bonds directly to the tooth and becomes part of your smile.
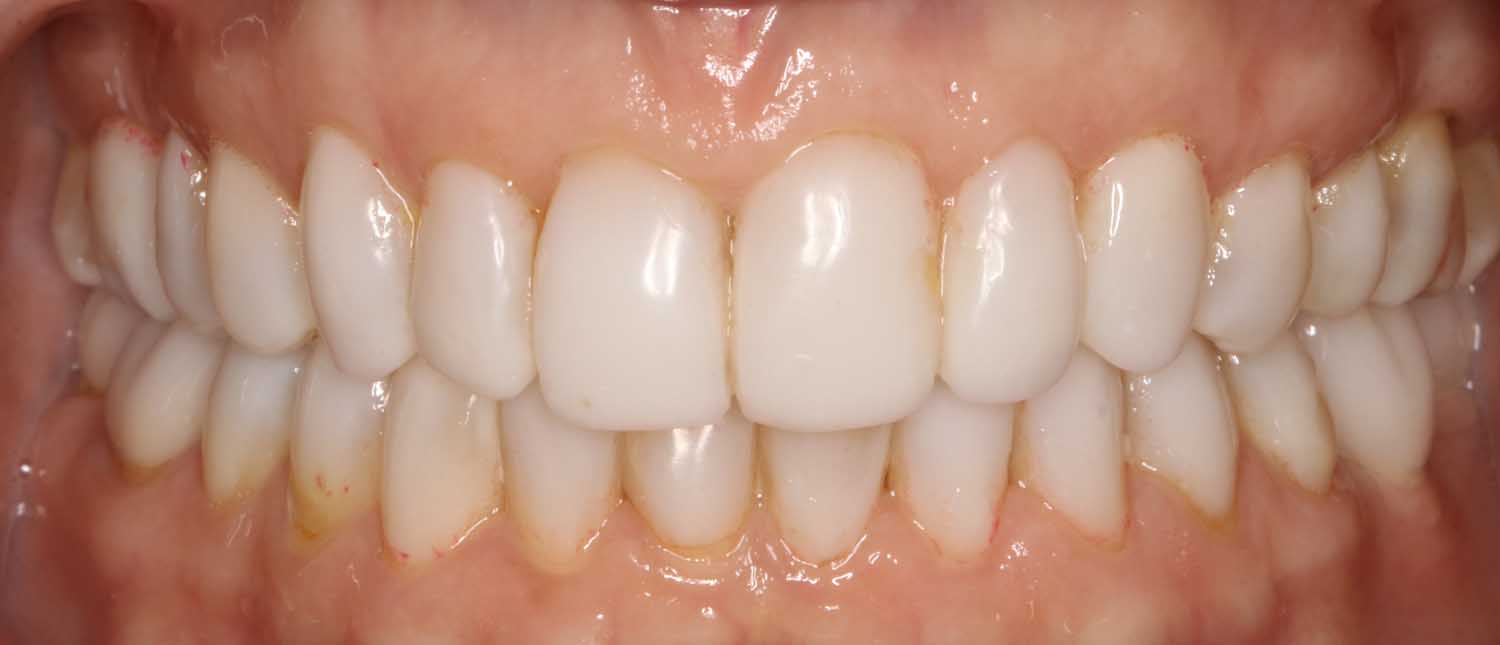
The bioclear is shaped and sculpted for a personalized, natural shape and contour. When complete, the black triangles are eliminated. Your gum line appears full, even, and youthful again.
The treatment takes just one short appointment. You can expect minimal discomfort and quick healing.
Within just a day or two, you’ll be ready to show off your new confident smile! The renewed gum line will look and feel completely natural.

Step-by-Step Bioclear Black Triangle Procedure
Treating black triangles with bioclear involves:
- Tooth isolation – teeth are separated from gums using cheek retractors
- Etching – creates a more conducive surface for bonding
- Priming – an adhesive primer is applied to the teeth
- Bioclear application – the material is precisely shaped into the triangles
- Curing – a curing light hardens and seals the bioclear triangle composites
- Finishing – natural contours and blending are ensured
- Bite check – proper occlusion is verified before completion
Caring for Bioclear Black Triangles
To maintain results long-term:
- Avoid very hot or hard foods initially after treatment
- Brush and floss gently as the gums heal
- Quit smoking (as this causes gum recession)
- Stay up to date with regular dental cleanings and exams
Proper oral hygiene preserves the renewed gum line and your confident smile.
Am I a Candidate for Bioclear?
Bioclear is suitable for most people struggling with black triangles or receding gums. Ideal candidates have:
- Gum recession causing dark triangular spaces between teeth
- Otherwise healthy teeth and gums
- Sufficient space between the recession and the tooth roots
During a consultation, your dentist will assess the extent of your gum recession. If you have enough space for the bioclear material, you’ll likely be a good candidate.
An oral exam is also needed to check for periodontal disease or other root-cause issues. These would need to be addressed first before correcting the black triangles.
Consulting With an Expert
If you’re bothered by dark triangles when you smile, we encourage you to schedule a bioclear consultation. Our experienced dentists will determine if you’re a candidate and explain the treatment process.
During the visit, we’ll address any concerns and set clear expectations, ensuring that you feel confident in your decision to move forward with treatment.
Imagine no longer feeling self-conscious about your smile. With bioclear, you can smile fully and brightly again! Take the first step and contact us today to start your journey towards a more confident smile.
